Skip to content
Welcoming Walk-ins and emergencies
(951) 800-5933
Book Now
Facebook
Instagram
Youtube
Google
Yelp
Linkedin
Home
About
Meet Dr. Soliman
Meet the Team
Careers
Reviews & Testimonials
Office Tour
Areas We Serve
Eastvale, CA
Norco, CA
Blog
New Patients
Before And After
Dental FAQs
Financial Information
Patient Forms
Specials/Discounts
Your First Visit
Insurance
Services
Cosmetic Dentistry
Dental Bonding
Lumineers
Smile Makeovers
Teeth Whitening Trays
Teeth Whitening With Glo
Teeth Whitening With Opalescence Go
Teeth Whitening With Rembrandt Sapphire
Teeth Whitening With Venus
Teeth Whitening With Zoom
Veneers
Endodontic Treatment
Cracked Teeth
Internal Bleaching
Post & Core
Root Canal Retreatment
Root Canal Therapy
Root Resorption
Traumatic Injuries
Vital Pulp Therapy / Pulpotomy
General Dentistry
Dental Bridge
Dental Cleanings
Dental Crowns
Dental Sealants
Digital Impressions
Enamel Shaping
Fillings
Fluoride Treatments
Lingual Frenectomy
Mercury Safe and Mercury Free
Occlusal Disease Treatment
Sedation Dentistry
Sleep Apnea
Snoring
Tooth-Colored Fillings
Tooth Perforation Repair
Oral Surgery
Facial Infections
Tooth Extractions
Wisdom Teeth Removal
Orthodontic Treatment
Orthodontic Emergencies
Orthodontic Mouthguards
Pediatric Dentistry
BPA-Free Tooth-Colored Fillings
Infant Dentistry
Interceptive Orthodontics
Nitrous Oxide for Children
Pit And Fissure Sealants
Sedation for Children
Space Maintainer
Periodontal Care
Arestin
CloSYS Mouthwash
Gingivectomy
Guided Tissue Regeneration
Gum Contouring & Reshaping
Gum Grafting
Periodontal Cleaning
Periodontal Splint
PerioProtect
Scaling and Root Planing
Preventative Dentistry
Custom Mouthguards
Occlusal Night Guards
Oral B Toothbrush
Oral Cancer Screenings
Silver Diamine Fluoride
Sonicare Toothbrush
Waterpik
Prosthodontics
Dental Implants
Flippers and Removable Partial Dentures
Full and Partial Dentures
Hybrid Prosthesis
Implant Restoration
Implant-Retained Dentures
Implant-Retained Partials
Technology
Air Abrasion Dentistry
Cone Beam 3D CT Scan (CBCT)
Digital X-Rays
Intraoral Camera Technology
Intraoral Scanner
Ultrasonics
Contact
Book an Appointment
Careers
Home
About
Meet Dr. Soliman
Meet the Team
Careers
Reviews & Testimonials
Office Tour
Areas We Serve
Eastvale, CA
Norco, CA
Blog
New Patients
Before And After
Dental FAQs
Financial Information
Patient Forms
Specials/Discounts
Your First Visit
Insurance
Services
Cosmetic Dentistry
Dental Bonding
Lumineers
Smile Makeovers
Teeth Whitening Trays
Teeth Whitening With Glo
Teeth Whitening With Opalescence Go
Teeth Whitening With Rembrandt Sapphire
Teeth Whitening With Venus
Teeth Whitening With Zoom
Veneers
Endodontic Treatment
Cracked Teeth
Internal Bleaching
Post & Core
Root Canal Retreatment
Root Canal Therapy
Root Resorption
Traumatic Injuries
Vital Pulp Therapy / Pulpotomy
General Dentistry
Dental Bridge
Dental Cleanings
Dental Crowns
Dental Sealants
Digital Impressions
Enamel Shaping
Fillings
Fluoride Treatments
Lingual Frenectomy
Mercury Safe and Mercury Free
Occlusal Disease Treatment
Sedation Dentistry
Sleep Apnea
Snoring
Tooth-Colored Fillings
Tooth Perforation Repair
Oral Surgery
Facial Infections
Tooth Extractions
Wisdom Teeth Removal
Orthodontic Treatment
Orthodontic Emergencies
Orthodontic Mouthguards
Pediatric Dentistry
BPA-Free Tooth-Colored Fillings
Infant Dentistry
Interceptive Orthodontics
Nitrous Oxide for Children
Pit And Fissure Sealants
Sedation for Children
Space Maintainer
Periodontal Care
Arestin
CloSYS Mouthwash
Gingivectomy
Guided Tissue Regeneration
Gum Contouring & Reshaping
Gum Grafting
Periodontal Cleaning
Periodontal Splint
PerioProtect
Scaling and Root Planing
Preventative Dentistry
Custom Mouthguards
Occlusal Night Guards
Oral B Toothbrush
Oral Cancer Screenings
Silver Diamine Fluoride
Sonicare Toothbrush
Waterpik
Prosthodontics
Dental Implants
Flippers and Removable Partial Dentures
Full and Partial Dentures
Hybrid Prosthesis
Implant Restoration
Implant-Retained Dentures
Implant-Retained Partials
Technology
Air Abrasion Dentistry
Cone Beam 3D CT Scan (CBCT)
Digital X-Rays
Intraoral Camera Technology
Intraoral Scanner
Ultrasonics
Contact
Book an Appointment
Careers
Phone-alt
Envelope
Google
Calendar-alt
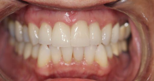
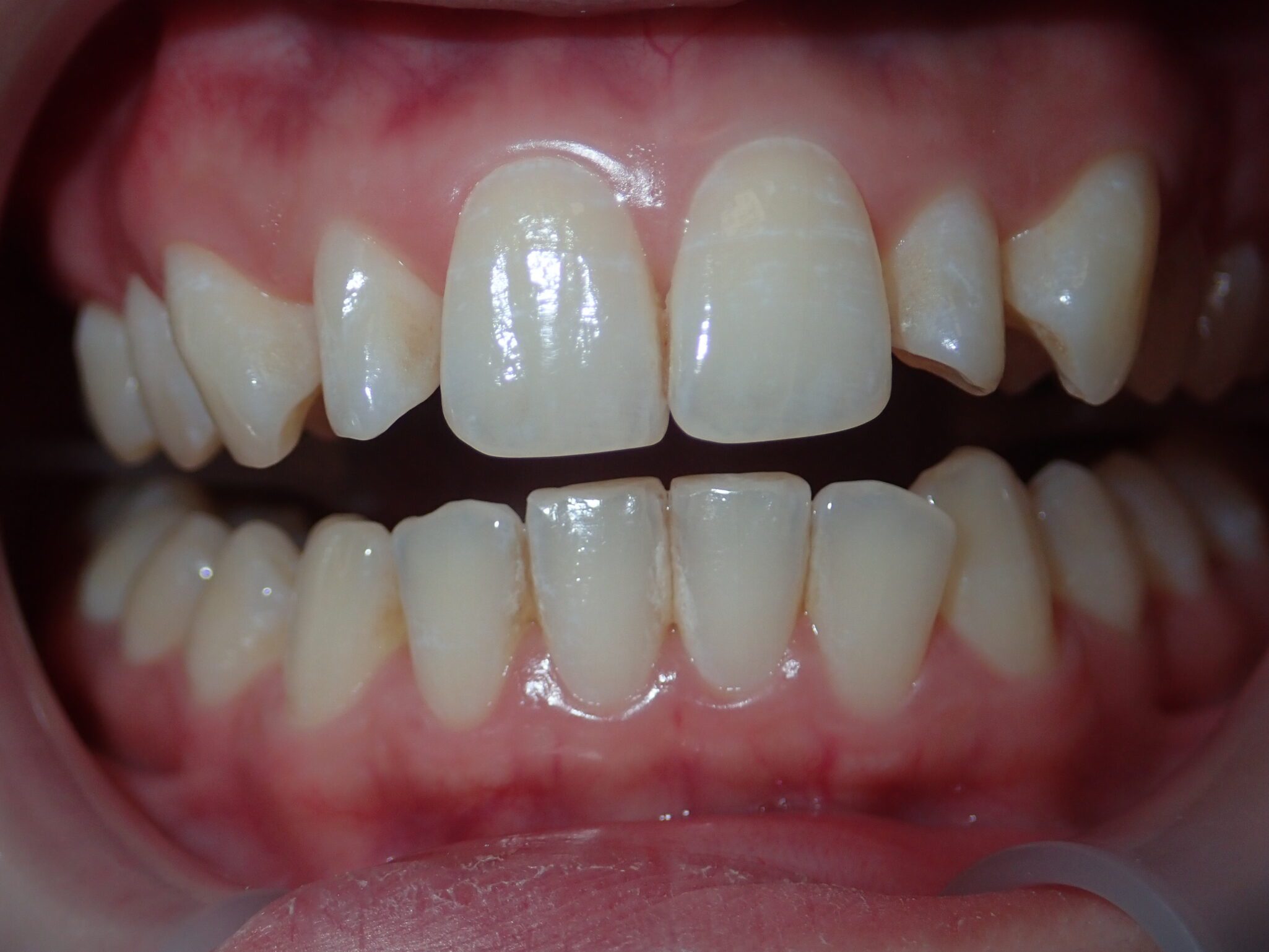
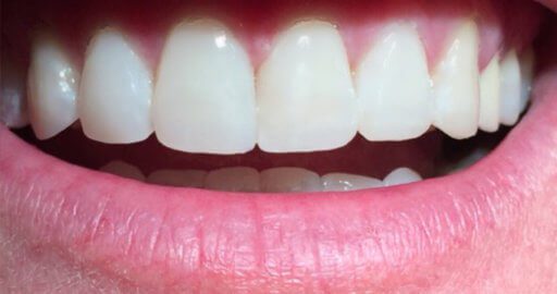
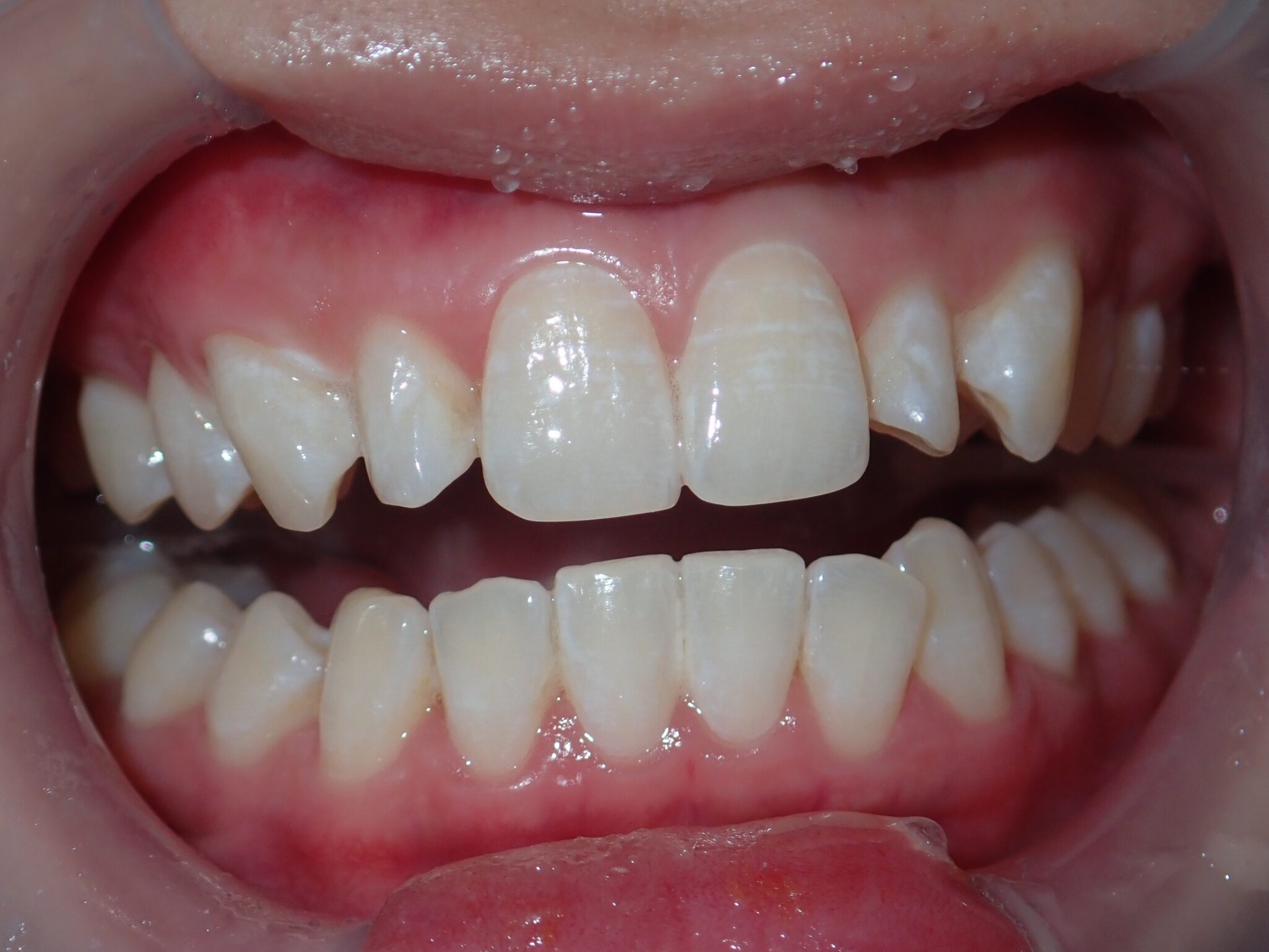
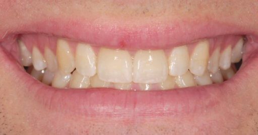
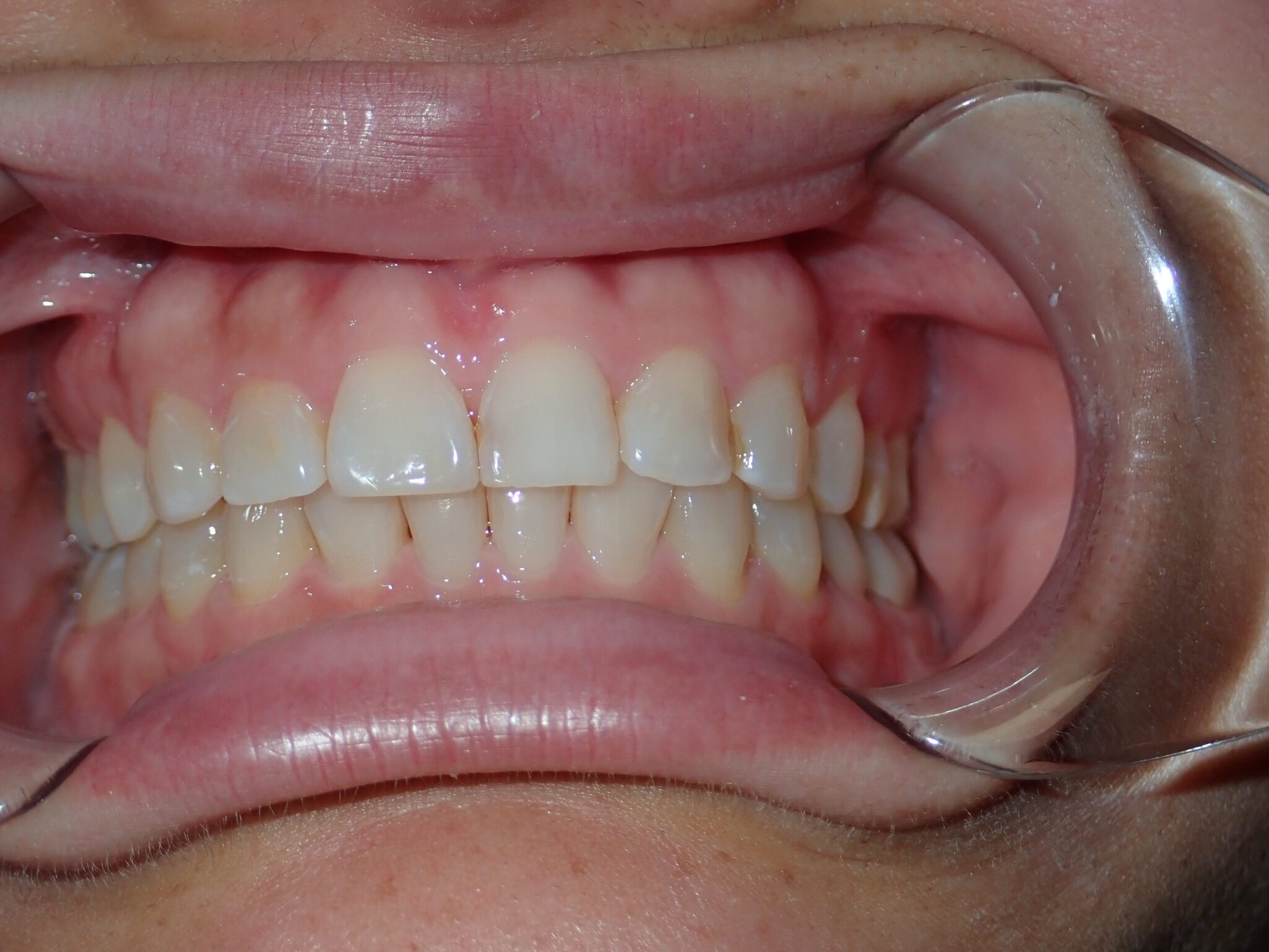
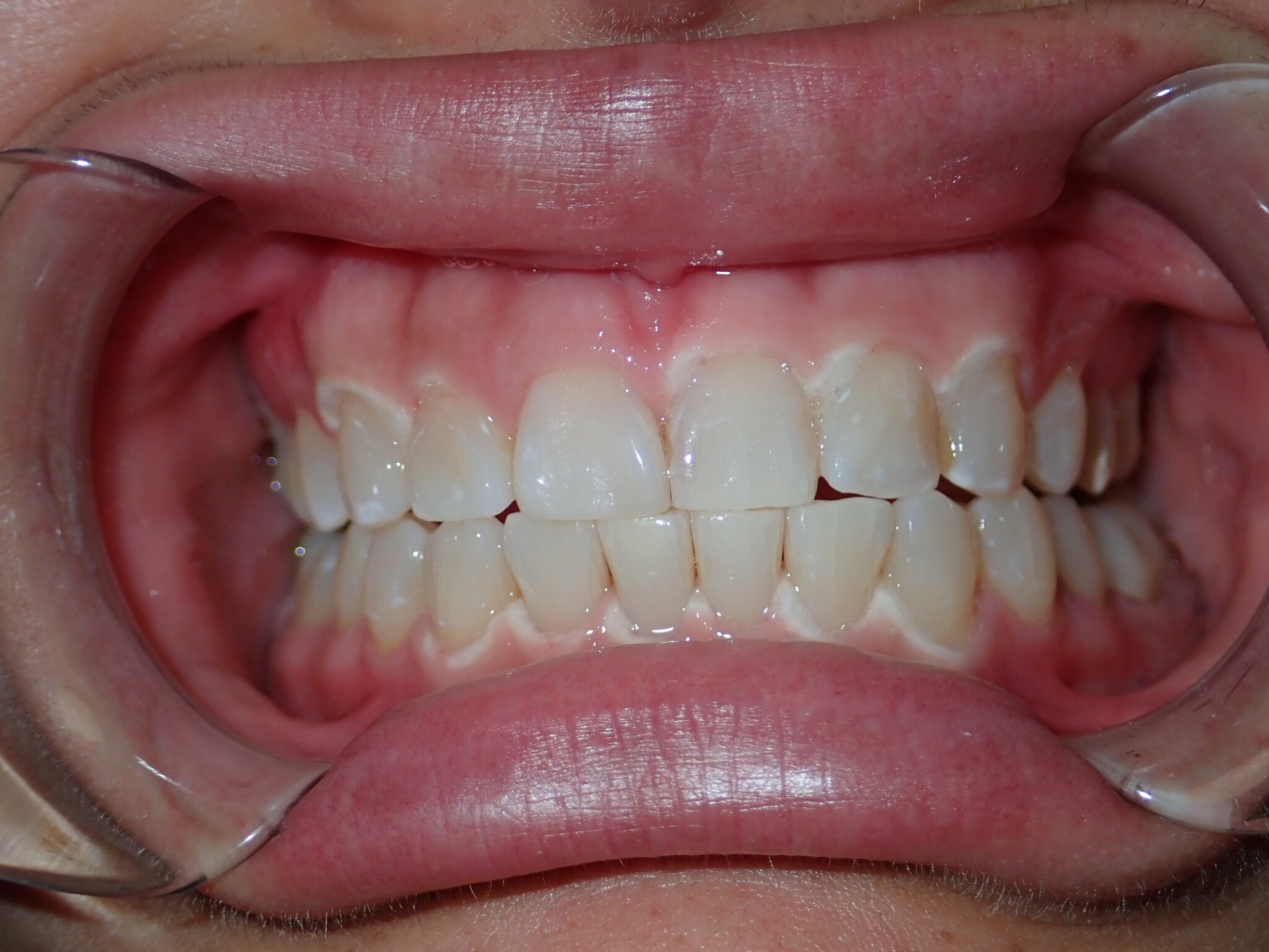
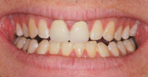
Before And After
Call Your Dental Home Today!
(951) 800-5933
Meet the Team
Careers
Before And After
Dental FAQs
Financial Information
Patient Forms
Your First Visit
Hamburger Toggle Menu